WEB予約
診療時間日/祝
9:00〜12:30
14:30〜20:00
メインビジュアル

柏市にある当医院の
マウスピース矯正

Features of our mouthpieces

マウスピース治療

Features01

治療期間や治療費を医師と相談することができる

  • ✓数カ月で治療を完了
  • ✓回数制で無理なく始められる
光学スキャンを受ける女性

Features02

光学スキャンで型取りが
楽に終わる

  • ✓嘔吐が強い方も安心
  • ✓精度の高い型取りが可能
3Dシミュレーションの画面を見る女性

Features03

3Dシミュレーションで理想の歯並び通りに治療が可能

  • ✓治療前に完成後のイメージが分かる
  • ✓理想通りに歯並びをデザイン
AIを活用した治療計画の説明を聞く女性

Features04

AIとデータを活用した治療計画の立案が可能

  • ✓治療の精度が向上
  • ✓治療期間の短縮が可能
1週間に一度の交換で衛生面にも配慮

当医院の
マウスピース矯正の特徴

Features05

1週間に一度の交換で衛生面にも配慮

マウスピースを2週間ごとに交換する方法もありますが、当医院では、1週間ごとに交換するシステムを採用しております。

  • ✓マウスピースの劣化や着色を防止
  • ✓歯が動きやすくなり治療期間を短縮

動きが少ないため痛みや違和感が少ない

当医院のマウスピース矯正は装置を薄く作製できて弾力の素材をサンドイッチした3層構造の、樹脂製なのが特徴です。
口の中を傷つけにくく矯正時の違和感を抑えられるだけでなく、
歯を持続した弱い力で動かす仕組みですので治療中の痛みを感じにくい傾向にあります。

マウスピース矯正
の料金

Mouthpiece orthodontic
treatment fees

マウスピース矯正

¥210,000~¥800,000

※料金は税別です。

マウスピース矯正
のメリット

The benefits of mouthpiece orthodontics

透明なマウスピースを持つ手

矯正装置が目立ちにくくバレない

透明で薄いマウスピースを使用するため、日常生活で矯正装置が目立つことはほとんどありません。営業や接客などの勤務時でも見た目を気にする心配がなく、結婚式や就職活動など大切なイベント時には一時的にマウスピースをご自身で外すことができます。

屋外でリラックスする女性

金属アレルギーの心配がない

従来のワイヤー矯正は、金属素材なので時には金属アレルギーの発症リスクがありました。一方でマウスピース矯正においては金属を使用していないため、金属アレルギーの心配がありません。

マウスピース矯正
治療の流れ

Orthodontic treatment process

step01

ご相談

気になる歯並びなど、矯正治療について気楽にご相談下さい。簡易検査をして患者様の希望やニーズに合わせていくつかの治療法を提案し考えてきてもらいます。

医師と話す患者
step02

精密検査

治療方針が決定しましたらレントゲンや口腔内写真、口腔外写真、噛み合わせ検査、歯周病検査など精密検査を行います。マウスピース矯正の場合、センターの海外(米国)に採得したデータをネットで申請します。その後、矯正専用のシミュレーションソフトを用いて海外と設計のやりとりをします。計画が決定しましたらマウスピースをオーダーシートで注文します。マウスピースが製作されましたら、航空便で当院に届けられます。

レントゲン写真
step03

装置の装着

いよいよ治療の開始です。この日の治療時間は約1~2時間ほどかかります。マウスピースの使用方法を丁寧に説明します。

鏡の前でマウスピースを装着する女性
step04

来院間隔

装置がお口の中に入ったら、ご自身で1週間ごとに新しいマウスピースに入れ替えていきます。通常最初のみ 2週間後にチェックのため来院してもらいますが、その後は約4~8週間ごとに来院していただくだけで大丈夫です。

歯科医師と歯科助手
step05

治療期間

患者様の歯並びの状況や希望などにより難易度が変わりますので治療期間も異なります。一般的に全体にでこぼこな歯並びの患者様の治療期間は1年~1年半前後ですが、軽度の場合は半年ぐらいで終わることも多いです。

歯の模型とカレンダー
step06

保定

矯正装置をはずした後、良くなった歯並びを安定させるため、しばらく取り外し可能な装置を通常使用します。

取り外し可能な保定装置を持つ女性

マウスピース矯正の
ことなら
何でもご相談ください

Free consultation available
マウスピース矯正の相談・予約

マウスピース矯正の
症例紹介

Case introduction
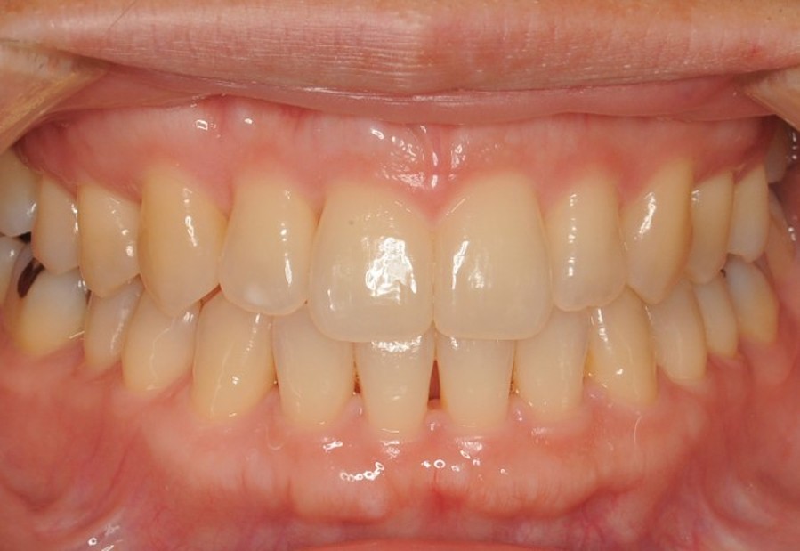
治療前

Before

矢印
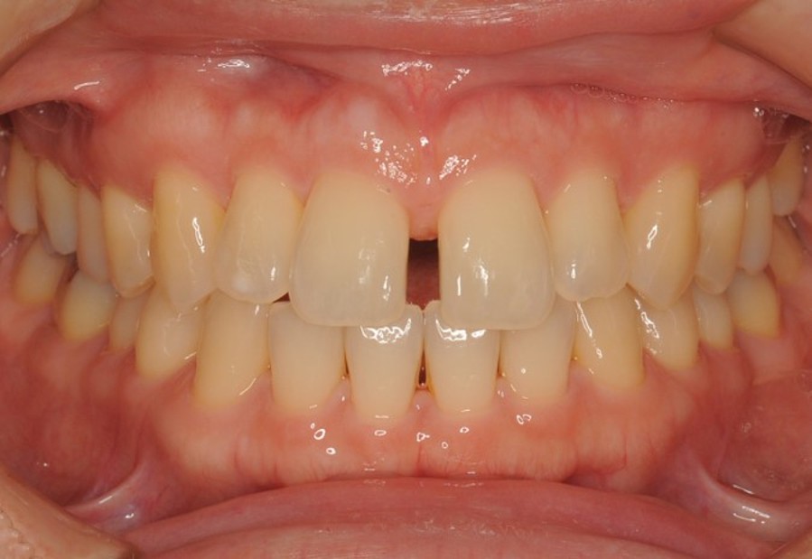
治療後

After

治療内容 正中離開の治療
費用 210,000円~320,000円(税別)
治療のデメリット・副作用 保険適用外の自費診療です。装着時間を守らないと希望通りに動かないことがあります。
治療期間/来院日数 約5ヵ月/7日

院長紹介

Director introduction

院長

田中 譲治

千葉県柏市出身

「金属製のワイヤーが気になって治療に踏み切れない」などでお悩みの方には、マウスピース矯正がおすすめです。 マウスピース(アライナー)矯正は透明なマウスピース型装置を使用するためワイヤー矯正に比べて治療中と気づかれにくく、成人の方の矯正も多くなっており、人前に出ることの多い方の矯正希望の方が急増しております。
また、外して洗えますので清潔で歯みがきは普段通り行えるのも大きなメリットです。軽度の歯列不正でしたら、半年ぐらいで終了できるケースも多くあります。
近年のデジタル技術の進歩により、より早く、よりリーズナブルに矯正できるようになりました。今まで矯正に二の足を踏んでいた成人のお患者様も抵抗なく矯正治療を受けられますので、お気軽にご相談ください。
多数症例実績あり、マウスピース矯正の実績のある医院として千葉県内で数件しか、いただけない感謝状を3年連続でストローマン・ジャパンから頂きました。

Jyoji Tanaka 院長 田中 譲治

経歴

1986年日本大学松戸歯学部卒業
1989年田中歯科医院開業
2001年日本大学松戸歯学部 学位取得
2008年日本大学松戸歯学部 臨床教授
2008年一般社団法人 日本インプラント臨床研究会 施設長(現在は名誉会長)

所属学会・資格

  • 公益社団法人 日本口腔インプラント学会理事・指導医・代議員
  • 日本大学松戸歯学部 臨床教授
  • 一般社団法人日本インプラント臨床研究会施設長
  • 日本歯科審美学会理事・認定医
  • 日本アンチエイジング歯科学会理事・指導医
  • 日本磁気歯科学会理事・認定医
  • 北原学院歯科衛生専門学校 非常勤講師
  • ITI Section Japan ITIフェロー
  • MACS研究会主宰
  • 一般社団法人柏歯科医師会生涯研修委員
  • 柏市立第五小学校 校医

柏市に根差した
当医院の
マウスピース矯正
の特徴

Tanaka Dental Clinic's Initiatives

オーダーメイドのマウスピースの実現

各個人に最適な治療計画および設計になるようにコンピューターシミュレーションを用いて海外(米国テキサス)と綿密にやりとりしたのち、オーダーメイドでマウスピースを製作してもらっております。
その製作されたマウスピースが航空便で海外から送られてきます。世界トップレベルのマウスピース矯正技術を日本にいながら受けることができます。

マウスピース矯正の画像
マウスピース矯正の画像

優れた品質と清潔性を保つ
高ブランドのマウスピースを
製作

マウスピース矯正の製作は院内で製作したり、技工所で製作したり、国内のいくつかのメーカーにより製作されるなどさまざまなところで製作することができるのですが、当院は世界的に信頼があり、かつシェアでもトップ3に入る企業のみと業務提携しており、優れた品質のマウスピース矯正システムを提供しています。

フォトバイオモジュレーション バイブアジャストメント

バイブアジャストメントで
治療期間を短縮

光エネルギーを組織に照射することで矯正効果の促進を期待できるフォトバイオモジュレーション装置。
当医院では治療をさらに効率化するため、ご希望の方には振動型フィッテング装置(バイブアジャストメント)も採用しています。
これにより、マウスピースが歯に正確にフィットし、計画通りに歯が動きやすくなり、治療期間の短縮に期待できます。詳しくはお問い合わせ下さい。

スマーティ矯正

機能性と審美性に優れたマウスピースで、ディズニーとコラボした「スマーティ矯正」も導入しております。
ご希望の方はお気軽にご相談ください。

スマーティ矯正 ミッキーマウス箱

新聞・雑誌掲載

Newspaper and magazine publications
雑誌掲載の画像1 雑誌掲載の画像2 雑誌掲載の画像3

アクセス・地図

Access/Map

交通機関をご利用の方

電車でお越しの方

JR常磐線「柏駅」東武野田線「柏駅」南口より
徒歩17分

電車のアイコン
タクシーをご利用の方

柏駅東口より5分

タクシーのアイコン
バスでお越しの方

柏駅東口から名戸ケ谷行きに乗車、
緑ヶ丘バス停まで7分(緑ヶ丘下車徒歩3分)

バスのアイコン
飛行機でお越しの方

羽田空港ターミナル駅より、
東京モノレール「浜松町駅」
または、京浜急行線「品川駅」にてJR線乗り換え
山手線・京浜東北線「上野駅」にて
常磐線に乗り換え「柏駅」下車
羽田空港より「柏駅」行きの直通バスも
ございます。

飛行機のアイコン

マウスピース矯正
のWEB予約は
こちら

Make a reservation online here
WEBでのご予約はこちら

マウスピース矯正のよくある質問

FAQ
question01

Q.何時まで診療していますか?

answer

A.平日は毎日20時まで診療しています。急患は随時受付ております。

question02

Q.矯正中も制限なく食事を楽しみたいのですが可能ですか?

answer

A.マウスピース矯正はご自身で着脱が可能です。食事の時はマウスピースを取り外し、普段通りの食事を楽しむことができます。

question03

Q.マウスピース型矯正装置の治療は、年齢に制限はありますか?

answer

A.治療の対象年齢に制限はございませんが、顎の成長がほぼ終わっている高校生になってからの治療をお薦めします。 また、周囲の人にほとんど気づかれずに矯正できるので、大人の方の矯正としても人気があり、多くの50歳過ぎの方にも喜ばれております。

question04

Q.治療期間はどれぐらいかかる?

answer

A.治療期間は、ブラケット矯正(ワイヤー矯正)と大きくは変わりませんが、マウスピース矯正ではPC上でコンピューターシミュレーションで行うので、症例によっては短期間で治療がすみます(通常、半年~1年半)。ただし、治療期間は歯並びの状態や歯の動き方によって個人差があるため、正確な期間は診察時に確認しながら、進行に応じてご説明いたします。

question05

Q.マウスピース矯正は痛い?

answer

A.歯を動かす際には、どうしても歯や歯ぐきに軽い負担がかかるため、痛みを感じることがあります。 ただし、マウスピース矯正は1回あたりの歯の移動量が0.25mm以下になるように設計されており、歯への負担を最小限に抑えられるよう工夫されています。 そのため、ワイヤー矯正(ブラケット矯正)と比べると、痛みが少ない傾向があります。 さらに、マウスピースは薄く、歯の形にぴったり合うように作られているため、金属のブラケットのように口の内側を傷つけにくいことも、痛みが少ない理由のひとつです。

question06

Q.マウスピースは1日どれぐらい付ける必要がある?

answer

A.マウスピース矯正では、基本的に1日20時間以上の装着が必要です。食事と歯磨きのとき以外は装着していただくことで、自然と20時間を超える使用時間になります。

question07

Q.マウスピース矯正をしていることは周りの人に気付かれますか?

answer

A.マウスピースは透明なので周りの人に気づかれにくいです。

question08

Q.マウスピース矯正で食事は普通にできる?

answer

A.はい、食事の際はマウスピースを外してお召し上がりいただけます。 そのため、食べ物の制限はほとんどありません。 ただし、マウスピースを付けたままの飲食は変形や着色の原因になるため避けましょう。

question09

Q.発音や会話に支障はある?

answer

A.装着直後は少し話しづらく感じることがありますが、数日で慣れる方がほとんどです。 マウスピースは薄く歯にぴったり合う形状のため、日常会話やお仕事への影響はほとんどありません。 お仕事上、話すことが多い方でも適応で、どうしても大事な時はワイヤー 矯正と違い、ご自身で外せますので安心です。

question10

Q.途中でマウスピースを失くしたり壊してしまったらどうしたらいい?

answer

A.万が一、マウスピースを破損・紛失した場合でも、再製作や治療計画の調整ができますのでご心配いりません。次の段階のマウスピースを使ってよいかどうかも含めて、適切にご案内いたします。

2025年9月

休診日
午前休診
午後休診
時間変更

診療時間

診療時間 日・祝
9:00 - 12:30 休診
14:30 - 20:00 休診

▲土曜日:17:00まで
千葉県柏市千代田3丁目15−1 エクセレントビル 2F

アクセス情報

電車アイコン

電車でお越しの方
JR常磐線・東武野田線「柏駅」南口より徒歩17分

バスアイコン

バスでお越しの方
緑ヶ丘バス停より徒歩3分

駐車場アイコン

お車でお越しの方
駐車場14台設置

電話で予約 WEB予約